Lompat ke konten Lompat ke sidebar Lompat ke footer

View Multiple Myeloma Bone Lesions Pictures

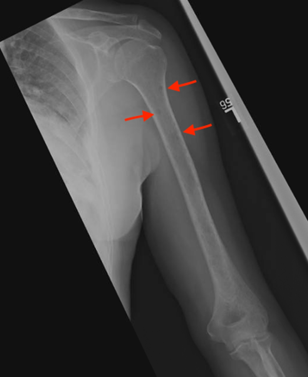
View Multiple Myeloma Bone Lesions Pictures. Multiple myeloma is a type of blood cancer. Myeloma bone disease can cause the bones to become thinner and weaker (osteoporosis), and it can make holes appear in the bone (lytic lesions).

Pinpointing A Factor In Myeloma Bone Disease Cancer Discovery
Pinpointing A Factor In Myeloma Bone Disease Cancer Discovery from cancerdiscovery.aacrjournals.org
My doctors discovered numerous lytic lesions in my skull after a ct scan for concussion after a fall. Multiple myeloma (mm), also known as plasma cell myeloma and simply myeloma, is a cancer of plasma cells, a type of white blood cell that normally produces antibodies. The clinical features of multiple myeloma are variable.

My doctors discovered numerous lytic lesions in my skull after a ct scan for concussion after a fall.

Osteolytic lesions result from increased bone resorption due to osteoclast stimulation and decreased bone formation due to. Multiple myeloma isn't the only form of cancer that can multiple myeloma research foundation: Multiple myeloma (kahler's disease) is a malignant plasma cell dyscrasia characterized by uncontrolled proliferation and the diffuse infiltration of monoclonal plasma cells in the bone marrow. Multiple myeloma is a rare condition that causes cancerous plasma cells to be produced, multiply and build up in the bone marrow.

Posting Komentar untuk "View Multiple Myeloma Bone Lesions Pictures"